중수골 골절이란? 롯데 황성빈 사례로 본 부상 이해하기



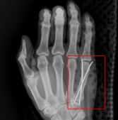
중수골 골절은 손의 중앙을 이루는 뼈인 ‘중수골’(metacarpal bone)에 금이 가거나 부러지는 부상을 말한다. 손에는 다섯 개의 중수골이 있으며, 이 뼈들은 손가락과 손목 사이를 연결해 주는 중요한 구조물이다. 주로 타격, 낙상, 충격 등 물리적 외상으로 인해 발생한다.
최근 롯데 자이언츠 외야수 황성빈(28)이 이 부상을 입으며 주목을 받았다. 황성빈은 지난 5일 SSG와의 경기에서 1루로 헤드 퍼스트 슬라이딩을 하던 중 왼쪽 네 번째 손가락 중수골에 골절이 발생했고, 정밀검진 결과 플레이트 고정 수술이 필요하다는 진단을 받았다. 이에 따라 그는 최대 10주 동안 경기에서 이탈하게 됐다.
황성빈처럼 야구선수의 경우 슬라이딩이나 타구를 잡는 과정에서 손에 강한 충격이 가해져 중수골 골절이 발생할 수 있다. 이 부상은 일상생활은 물론, 공을 잡고 던지는 야구 동작에 큰 제약을 주기 때문에 철저한 안정과 재활이 필요하다.



MCP 관절성형술과 연부조직 재건술
손목과 손가락의 연부조직 재건술 및 MCP 관절 성형술(2-5번 손가락)은 주로 손 기능의 회복과 진행성 기형의 관리, 그리고 말기 관절염 환자들의 일상적인 손동작을 개선하기 위해 수행되는 수술입니다. 이 수술은 주로 류마티스 관절염(RA) 환자에게 적용되며, RA의 경우 손 기능이 수술 후 1년 동안 향상되는 경향이 있습니다. 반면, 약물적 관리만을 받는 경우에는 손 기능의 향상 없이 악화되지 않는 것이 일반적입니다.
이 수술은 특발성 퇴행성 관절염(OA)이나 외상 후 관절염이 있는 환자에게도 유효하며, 이러한 환자들의 경우 손 허리뼈의 기능을 회복시키는 데 도움이 됩니다. MCP 관절 성형술은 손의 기능을 회복하고 정상적인 정렬을 복원하기 위해 중요한 절차로, 다른 연부조직 균형을 맞추는 수술과 함께 진행될 수 있습니다.
수술 적응증
MCP 관절성형술의 주요 적응증은 다음과 같습니다:
- MCP 관절의 통증 및 손 기능의 감소: 주로 RA, OA, 외상 후 관절염 등으로 발생한 관절면의 악화가 원인입니다.
- 관절 불안정: 연부조직 이완술과 재건술만으로 교정할 수 없는 기형(굽힘, 지쪽 이동) 및 아탈구로 인한 불안정성이 나타날 수 있습니다.
- 관절 강직 및 능동 ROM(관절 가동 범위)의 감소: 큰 물체를 잡으려 할 때, 손을 완전히 펼 수 없는 경우 발생합니다.
- 손의 기형으로 인한 미용적 문제: 손의 모양이 비정상적일 경우에도 이 수술을 고려할 수 있습니다.
수술 절차
MCP 관절성형술의 절차는 다음과 같습니다:
- 임플란트 디자인 및 재료: 관절성형술은 말기 관절염 환자의 MCP 관절 안정성과 가동성의 균형을 맞추기 위해 설계되었습니다. Swanson 임플란트를 포함하여 여러 종류의 실리콘 및 금속 임플란트가 사용됩니다. Swanson 임플란트는 매우 신뢰성 있는 디자인으로, RA 환자들에게 널리 사용됩니다. 또한, Newflex 임플란트는 ROM(관절의 가동 범위)을 향상시키기 위해 설계된 대안으로 사용됩니다.
- 수술 개요:
- 절개: 수술은 손허리뼈 머리의 등쪽에 가로 방향으로 절개하거나, 집게손가락과 가운데 손가락, 반지손가락과 새끼손가락 사이에 세로로 절개하여 접근합니다.
- 관절주머니 노출: 관절주머니와 펌근 후드(hood)를 세로 방향으로 절개하여 자쪽으로 이동시키고, 힘줄을 오므라들게 합니다.
- 관절주머니 절제술: 관절주머니의 등쪽면을 절개하고, 필요한 경우 윤활막 절제술도 시행합니다.
- 관절 수정 및 임플란트 삽입: 손상된 관절을 잘라내고, 임플란트를 삽입하기 위해 손허리뼈와 몽쪽마디뼈의 골수강을 넓혀줍니다.
- ROM 검사 및 회복: 임플란트 삽입 후 관절의 ROM을 검사하고, 연부조직을 회복시킵니다. 이후 상처를 봉합하고 드레싱을 실시합니다.
- 수술 후 관리:
- 고정: 수술 직후, 손목과 손은 압박 처치로 고정되며, 바닥쪽 부목은 손목을 중립 위치로 유지하고 MCP 관절은 완전 펌 상태로 고정됩니다.
- 동적 부목: 수술 후 동적 부목을 착용하여, 치료되는 조직을 보호하고, MCP 관절의 굽힘과 지쪽 이동을 방지합니다. 이 부목은 손목을 약 10-15도 정도 펌하고, MCP 관절을 완전 펌시킵니다. 2-3주 후, 동적 부목을 간헐적으로 사용하여 ROM을 향상시킵니다.
- 정적 부목: 낮 동안 동적 부목을 착용했다면, 밤에는 정적 부목을 착용하여 MCP 관절의 굽힘을 방지합니다. 정적 부목은 손목의 15도 펌과 손가락의 완전 펌 상태로 고정됩니다.
- 재활 프로그램: 수술 후에는 연부조직의 치유를 촉진하기 위해 단계적인 재활 프로그램이 필요합니다. 동적 부목, 정적 부목, 그리고 가정 운동 프로그램을 포함한 프로그램이 효과적입니다. 3-6개월 동안 지속적인 운동치료와 환자 교육이 중요합니다.
운동 진전 (Progression of Exercise)
1. 운동 보호 및 시작 시점
- 동적 부목이나 정적 부목을 사용할 때 운동은 강한 압박 드레싱을 제거한 후 시작됩니다. 수술 후 3-5일 내에 시작되며, 늦어도 10-14일 내에 운동을 시작해야 합니다.
- 운동 시작 시점은 수술 후 절차 유형, 병리, 관절 안정성에 따라 달라집니다. 연부조직 회복이 좋지 않거나 관절 불안정, 상처 치유 지연 시 운동 시작이 몇 주 지연될 수 있습니다.
2. OA 및 RA 환자의 운동
- OA (골관절염) 또는 외상 후 관절염 환자의 MCP 관절은 수술 후 안정성이 있습니다. 따라서 MCP 운동을 빠르게 시작할 수 있으며, RA 환자보다 빠르게 진행됩니다.
- RA (류마티스 관절염) 환자는 장기적인 조직 염증과 기형으로 인해 관절 안정성이 떨어지므로 운동이 상대적으로 지연될 수 있습니다.
- Swanson의 재활 프로그램은 RA 환자의 완전 능동 펌을 목표로 하며, 집게손가락과 가운데손가락의 MCP 관절에서 45-60° 굽힘을 달성하는 것을 목표로 합니다. OA 환자는 더 큰 ROM을 얻을 수 있습니다.
3. 운동 목표 및 중재 (Maximal Protection Phase)
- 첫 4-6주 동안은 보조 운동과 능동 운동만 진행하며, 손을 사용하지 않도록 합니다. 이 시기에는 연부조직에 안전한 수준의 스트레스를 제공하여 흉터 조직 형성을 도와주고, 유착 방지를 목표로 합니다.
- 운동 목표:
- 어깨, 팔꿈치, 아래팔의 ROM 유지.
- MCP 관절의 능동적인 굽힘과 펌을 향상시킴.
- 손가락 운동: MCP 관절을 펌한 상태에서 PIP 및 DIP 관절을 능동으로 운동 시작.
- 동적 부목이나 정적 부목을 사용하여 손가락과 관절을 고정시키고, 능동 운동을 실시.



4. 운동 진행 단계
중등도 보호단계 (Moderate Protection Phase)
- 3-4주 후에 시작되며, MCP 관절의 완전 능동 펌을 목표로 합니다.
- 이 단계에서 동적 펌 부목을 제거할 수 있으며, 가벼운 근력 강화 운동과 **일상 생활 활동(ADL)**을 위한 손 사용이 가능합니다.
최소 보호단계 (Minimum Protection Phase)
- 6-8주 후 또는 12주 후에 시작됩니다.
- 관절 안정성을 유지하며, 손목과 손의 근육을 강화하고, 기능적 활동을 위한 손 사용을 증가시킵니다.
- MCP 관절의 능동 펌을 보강하고, 손과 팔의 근육을 강화하기 위한 수동 신장 운동과 저항 운동을 추가합니다.
5. 운동 중 주의사항
- MCP 관절의 굽힘 상태에서 절개 부위를 주의 깊게 관리합니다.
- 손가락의 자쪽지우집 변형이 재발하지 않도록 주의합니다.
- 운동 중에는 가쪽 압박을 피하고, 피부와 봉합 부위에 과도한 장력을 가하지 않도록 합니다.
6. 변형 예방 및 관절 보호
- 변형 예방을 위해 동적 부목이나 정적 부목을 사용하여 손가락의 안정성을 유지합니다.
- 환자에게 관절 보호 및 에너지 보존 원칙을 교육하고, 일상생활에서 손가락에 과도한 스트레스를 피하도록 유도합니다.
- 8-12주 이후에는 가벼운 기능적 잡기 활동을 시작하고, MCP 관절과 다른 침범된 관절의 변형을 예방할 수 있도록 합니다.
'우리몸의 건강와 다양한 정보' 카테고리의 다른 글
| 5월 운동하기 좋은날씨, 심혈관질환 증상, 이런 신호가 있다면 주의하세요! (0) | 2025.05.12 |
|---|---|
| 5월, 걷기 딱 좋은 이 계절..심장병 환자에게 운동은 선택 아닌 ‘치료’입니다 (0) | 2025.05.12 |
| “잠꼬대, 그냥 넘겨도 될까?” 치매와 상관관계 (0) | 2025.05.09 |
| 잠꼬대, 고칠 수 있을까? 의학적 치료법과 민간요법으로 잠꼬대고치는방법 (0) | 2025.05.09 |
| 잠꼬대 단순한 습관일까? 잠꼬대의 원인(뇌가 보내는 경고 신호일 수도 있다) (0) | 2025.05.09 |