“그냥 소화불량인 줄 알았다”…운동 좋아하던 41세 남성, 결국 ‘식도암 4기’ 판정
“단순한 위산 역류일 뿐이라고 생각했다. 하지만 그것은 죽음의 신호였다.”
영국의 41세 남성 잭 반 아르데(Jack van Arde) 는 늘 건강을 자신하던 사람이었다.


그는 울트라 마라톤을 즐기는 철저한 자기관리형 남자였다. 하지만 그의 몸속에서는 이미 암이 자라고 있었다.
시작은 단순한 ‘속 쓰림’이었다
지난해부터 잦은 위산 역류와 속 쓰림을 겪던 아르데는, 그저 제산제와 위장약으로 스스로를 달랬다.
“스트레스 때문이겠지.”
하지만 증상은 점점 심해졌고, 어느 날 새벽 — 비극은 현실이 되었다.
“쿵” 하는 소리, 그리고 피를 토한 남편
새벽 5시. 그의 아내 제스는 계단 아래에서 들려온 쿵 소리에 놀라 잠에서 깼다.
“남편이 무거운 숨을 몰아쉬며 피를 토하고 있었어요.”
응급실로 옮겨진 남편에게 내려진 진단은 ‘위궤양 의심’.
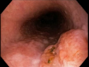
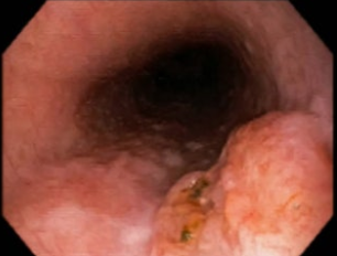
하지만 내시경 검사 결과, 충격적인 결과가 기다리고 있었다 —
“식도암 4기입니다.”
젊고 건강했던 남자의 믿기 힘든 진단
아르데는 “운동을 멈춘 적도, 건강을 소홀히 한 적도 없었다”며 충격을 감추지 못했다.
그는 현재 2주 간격으로 항암 치료를 받고 있으며, 종양의 크기는 약 6cm로 측정됐다.
의료진은 항암치료가 끝난 후 수술 가능성을 검토할 예정이다.
식도암, 방심이 부른 치명적 암


식도암은 목 이물감, 속 쓰림, 구토, 출혈 등의 증상으로 나타난다.
특히 흡연, 과음, 뜨거운 음식 섭취는 주요 원인으로 꼽힌다.
“술과 담배를 오래 함께 해왔다면, 지금이 바로 검진을 받아야 할 때입니다.”
기억해야 할 경고 신호
- 삼킬 때 통증이나 불편함이 있다면
- 자주 속이 타들어가는 느낌이 든다면
- 가슴이 자주 쓰리거나 구토가 잦다면
“그냥 소화불량이겠지” 하고 넘기지 마세요.
그 생각 하나가 당신의 인생을 바꿀 수도 있습니다.
건강은 평소엔 아무 일도 없는 듯하다가,
어느 날 갑자기 모든 걸 빼앗아 간다.
'우리몸의 건강와 다양한 정보' 카테고리의 다른 글
| ‘다음 생부터 잘생겼다’… 차현승, 팬들과 웃음+눈물 소통 (1) | 2025.10.28 |
|---|---|
| “빛을 잃은 눈이 다시 책을 읽었다”…배터리도 전선도 없는 ‘전자 눈’의 기적 (0) | 2025.10.21 |
| 이 습관이 콩팥을 망친다” — 신장을 서서히 망가뜨리는 일상 행동 (0) | 2025.10.20 |
| “암 치료, 약만으론 부족하다… ‘외로움’이 생존율을 좌우한다” (0) | 2025.10.20 |
| 올해 인플루엔자, 예년보다 빠르고 강하게 왔다! 지금 바로 예방접종해야 하는 이유 (0) | 2025.10.20 |
